TOP
|
特許
|
意匠
|
商標
特許ウォッチ
Twitter
他の特許を見る
公開番号
2025059900
公報種別
公開特許公報(A)
公開日
2025-04-10
出願番号
2023170285
出願日
2023-09-29
発明の名称
落花生アレルゲンの検査用の抗体、キットおよび検査方法
出願人
日本ハム株式会社
代理人
個人
,
個人
,
個人
,
個人
,
個人
,
個人
主分類
C07K
16/16 20060101AFI20250403BHJP(有機化学)
要約
【課題】食品中又は食品加工装置に残留している落花生アレルゲンを検出するための改良された手段を提供する。
【解決手段】食品中又は食品加工装置に残留している落花生アレルゲンを免疫学的測定法により定量的または定性的に検出するための検査用キットであって、所定のアミノ酸配列からなる重鎖CDR1~3および軽鎖CDR1~3を有する抗Ara h3抗体またはその抗原結合性断片(抗Ara h3抗体等)、あるいはAra h3タンパク質との結合において抗Ara h3抗体等と同一または重複するエピトープをめぐって競合する抗Ara h3抗体またはその抗原結合性断片(抗Ara h3競合抗体等)を含む、検査用キット。
【選択図】なし
特許請求の範囲
【請求項1】
配列番号1で表されるアミノ酸配列からなる重鎖CDR1、
配列番号2で表されるアミノ酸配列からなる重鎖CDR2、および
配列番号3で表されるアミノ酸配列からなる重鎖CDR3、ならびに
配列番号4で表されるアミノ酸配列からなる軽鎖CDR1、
配列番号5で表されるアミノ酸配列からなる軽鎖CDR2、および
配列番号6で表されるアミノ酸配列からなる軽鎖CDR3
を有する、抗Ara h3抗体またはその抗原結合性断片(以下「第1抗体等」と呼ぶ。)、または
配列番号7で表されるアミノ酸配列からなる重鎖CDR1、
配列番号8で表されるアミノ酸配列からなる重鎖CDR2、および
配列番号9で表されるアミノ酸配列からなる重鎖CDR3、ならびに
配列番号10で表されるアミノ酸配列からなる軽鎖CDR1、
配列番号11で表されるアミノ酸配列からなる軽鎖CDR2、および
配列番号12で表されるアミノ酸配列からなる軽鎖CDR3
を有する、抗Ara h3抗体またはその抗原結合性断片(以下「第2抗体等」と呼ぶ。)。
続きを表示(約 1,600 文字)
【請求項2】
Ara h3タンパク質との結合において、前記第1抗体等と同一または重複するエピトープをめぐって競合する抗Ara h3抗体またはその抗原結合性断片(以下「第1競合抗体等」と呼ぶ。)、または前記第2抗体等と同一または重複するエピトープをめぐって競合する抗Ara h3抗体またはその抗原結合性断片(以下「第2競合抗体等」と呼ぶ。)。
【請求項3】
食品中又は食品加工装置に残留している落花生アレルゲンを免疫学的測定法により定量的または定性的に検出するための検査用キットであって、
請求項1に記載の前記第1抗体等および前記第2抗体等ならびに請求項2に記載の前記第1競合抗体等および前記第2競合抗体等からなる群より選ばれる少なくとも1つを含む、検査用キット。
【請求項4】
前記免疫学的測定法がELISAまたはイムノクロマトグラフィーであり、ELISAにおける酵素標識用またはイムノクロマトグラフィーにおける発色標識用の、前記第1抗体等もしくは前記第1競合抗体等または前記第2抗体等もしくは前記第2競合抗体等を含む、請求項3に記載の検査用キット。
【請求項5】
前記免疫学的測定法がELISAまたはイムノクロマトグラフィーであり、ELISAにおける固相化用またはイムノクロマトグラフィーにおける固定化用の、前記第1抗体等もしくは前記第1競合抗体等または前記第2抗体等もしくは前記第2競合抗体等を含む、請求項3に記載の検査用キット。
【請求項6】
前記免疫学的測定法がELISAまたはイムノクロマトグラフィーであり、
(1)ELISAにおける酵素標識用またはイムノクロマトグラフィーにおける発色標識用の、前記第2抗体等もしくは前記第2競合抗体等と、ELISAにおける固相化用またはイムノクロマトグラフィーにおける固定化用の、前記第2抗体等もしくは前記第2競合抗体等を含む、
(2)ELISAにおける酵素標識用またはイムノクロマトグラフィーにおける発色標識用の、前記第1抗体等もしくは前記第1競合抗体等と、ELISAにおける固相化用またはイムノクロマトグラフィーにおける固定化用の、前記第2抗体等もしくは前記第2競合抗体等を含む、または
(3)ELISAにおける酵素標識用またはイムノクロマトグラフィーにおける発色標識用の、前記第1抗体等もしくは前記第1競合抗体等と、ELISAにおける固相化用またはイムノクロマトグラフィーにおける固定化用の、前記第1抗体等、第2抗体等、第1競合抗体等および第2競合抗体等以外の抗Ara h3抗体またはその抗原結合性断片を含む、請求項3に記載の検査用キット。
【請求項7】
さらに抽出用試薬を含む、請求項3に記載の検査用キット。
【請求項8】
前記抽出用試薬が、加熱を伴わない振盪法または高速剪断・撹拌処理法による抽出用試薬である、請求項7に記載の検査用キット。
【請求項9】
(1)食品中又は食品加工装置に残留している落花生タンパク質を抽出する工程、および
(2)得られた抽出物中のAra h3タンパク質を、請求項1に記載の前記第1抗体等および前記第2抗体等ならびに請求項2に記載の前記第1競合抗体等および前記第2競合抗体等からなる群より選ばれる少なくとも1つを用いた免疫学的測定法により定量的または定性的に検出する工程
を含む、食品中の落花生アレルゲンの検査方法。
【請求項10】
前記免疫学的測定法がELISAまたはイムノクロマトグラフィーであり、ELISAにおける酵素標識用またはイムノクロマトグラフィーにおける発色標識用の、前記第1抗体等もしくは前記第1競合抗体等または前記第2抗体等もしくは前記第2競合抗体等を用いる、請求項9に記載の検査方法。
(【請求項11】以降は省略されています)
発明の詳細な説明
【技術分野】
【0001】
本発明は、食品中に含まれている、または食品加工装置に残留している、落花生アレルゲン、特にAra h3タンパク質を検出するための技術に関する。
続きを表示(約 2,400 文字)
【背景技術】
【0002】
食物アレルギーは、身体が摂取した食物に含まれる特定のタンパク質(食物アレルゲン)を異物として認識し、過敏な免疫学的機序を介して、皮膚のかゆみ、じんましん、せきなど様々な症状が引き起こされる症状であり、重症の場合は、意識の喪失、血圧低下・ショック症状など、生命にかかわる深刻なものとなる。食物アレルギーの患者は、全人口の1~2%(乳児に限定すると約10%)になると推定されている。食物アレルギーの患者が、原因となる食物アレルゲンを含む食品、特に外観的に判別しにくい加工品を摂取しないよう、食物アレルゲンを含む原材料を食品が含む場合は、その旨を表示することが食品衛生法により義務または推奨とされている。現在、「卵、乳、小麦、えび、かに、落花生、くるみ」(発症件数が多いもの)および「そば」(症状が重くなることが多く、生命に関わるもの)の8品目は、表示義務がある「特定原材料」に指定されており、「あわび、いか、いくら、オレンジ、カシューナッツ、キウイフルーツ、牛肉、ごま、さけ、さば、大豆、鶏肉、バナナ、豚肉、まつたけ、もも、やまいも、りんご、ゼラチン、アーモンド」(過去に一定の頻度で発症が報告されたもの)の21品目は、表示が推奨されている「特定原材料に準ずるもの」に指定されている。消費者庁(以前は厚生労働省)は、食物アレルギーの全国的な実態把握のために3年毎に調査を行っており、その結果を踏まえて特定原材料等の見直しを行っている。
【0003】
上記のような食物アレルゲンに関する制度の運用のために、食品メーカーや公的な検査機関等において、食物アレルゲンを含む食品が加工品中に原材料として含まれていないかまたは食品加工装置に残留していないか、キット等を使用して検査されている。落花生に対するアレルギー症状は重篤なものとなる傾向にあることから、落花生アレルゲンを検出することのできるキットにとって、より一層の信頼性の向上などが要求されている。
【0004】
加工品中に含まれている、または食品加工装置に残留している特定原材料等の検出技術としては、一般的に、スクリーニング検査として抗原抗体反応を用いたELISA法、および確定検査としてDNAの増幅反応を用いたPCR法が存在している。このうちELISA法は、落花生特有のタンパク質(アレルゲン)を認識する抗体を用いることで、加工品中に落花生が原材料として含まれているかどうかを検査する。
【0005】
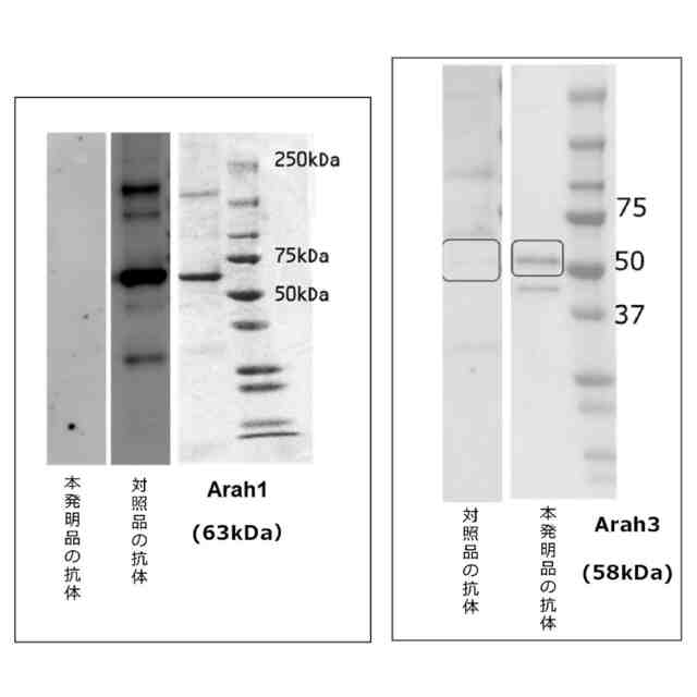
抗原抗体反応に基づく検出の標的とする落花生特有のタンパク質としては、落花生アレルギーの主な原因である、落花生アレルゲンAra h1、Ara h2、Ara h3などが知られている。Ara h1は、分子量63kDaの、7sグロブリンファミリーのタンパク質であり、ピーナッツ抽出物の総タンパク質の約12~16%を占め、このアレルギー患者の35~95%で感作を引き起こす。Ara h2は、分子量20kDaの、2sグロブリンファミリーのタンパク質であり、全身アレルギーを引き起こすことに加えて、高温で処理されたときにはトリプシンインヒビター活性がさらに数倍増強され、Ara h1の消化を阻害することで、さらにアレルギー活性が高まる。Ara h3は、分子量58kDaの、11sグロブリンファミリーのタンパク質であり、ピーナッツ抽出物の総タンパク質の約19%を占め、全身アレルギーを引き起こす。その他、Ara h4、Ara h5、Ara h6、Ara h7などの落花生アレルゲンも知られている。
【0006】
そのような落花生特有のタンパク質を対象として、抗原抗体反応により食品中の落花生を検出するための手段としては、例えば、落花生アレルゲン未変性Ara h1タンパク質および加熱変性Ara h1タンパク質を認識する抗Ara h1タンパク質モノクローナル抗体を用いて、ELISA等により検出する方法およびそのためのキットが提案されている(特許文献1)。
【0007】
また、インドネシア産Bali PeanutはAra h1を持っていない特種な落花生であるが、その他落花生由来アレルゲン(Ara h2、Ara h3など)が依然に含まれているため、アレルギーの発症状況は普通落花生と変わりがなかったことが報告されている(非特許文献1)。
【先行技術文献】
【特許文献】
【0008】
特開2009-271091号公報(特許第5043077号)
【非特許文献】
【0009】
Peanut varieties with reduced Ara h 1 content indicating no reduced allergenicity, Mol. Nutr. Food Res. 2010, 54, 381-387
【発明の概要】
【発明が解決しようとする課題】
【0010】
Ara h1タンパク質を標的とするモノクローナル抗体を用いた検出用キットまたは検出方法は、食品検体中のAra h1タンパク質の濃度が低いときには検出感度が悪く、一方で食品検体中のAra h1タンパク質の濃度が高いときには偽陰性となって検出できないといった問題点があった。また、食品がAra h1欠損落花生を用いて製造されている場合は、Ara h1タンパク質を標的とするモノクローナル抗体を用いた検出用キットまたは検出方法によっては落花生アレルゲンを検出できず、Ara h2、Ara h3タンパク質のアレルギー患者にとって大きな問題となる。さらに、落花生中の主要アレルゲンタンパク質であるAra h1の含有量は加熱よって増減するため、Arah1の検査キットで落花生を検出しにくい問題がある。
(【0011】以降は省略されています)
この特許をJ-PlatPat(特許庁公式サイト)で参照する
関連特許
日本ハム株式会社
糸状菌の製造方法
3日前
日本ハム株式会社
燻製食肉製品の製造方法
13日前
日本ハム株式会社
エビ代替食品の製造方法
2か月前
日本ハム株式会社
スパウトパウチ詰め麺食品
23日前
日本ハム株式会社
環状ペプチド、その生産方法、及びその利用
2日前
日本ハム株式会社
くるみアレルゲンの検査用の抗体、キットおよび検査方法
3日前
日本ハム株式会社
落花生アレルゲンの検査用の抗体、キットおよび検査方法
6か月前
日本ハム株式会社
架橋ポリマー、架橋ポリマーの成形体、及び食品用容器包装
3日前
日本ハム株式会社
架橋ポリマー、架橋ポリマーの成形体、及び抗菌性吸水シート
3日前
東ソー株式会社
タンパク質の発現方法
23日前
株式会社トクヤマ
四塩化炭素の製造方法
3か月前
東ソー株式会社
炭素-窒素結合形成方法
3か月前
株式会社トクヤマ
シロキサン類の回収方法
3か月前
株式会社半導体エネルギー研究所
有機化合物
2か月前
株式会社トクヤマ
ビオチン誘導体の製造方法
2か月前
栗田工業株式会社
ギ酸の回収方法
5日前
株式会社トクヤマ
ベンザゼピン化合物の製造方法
2か月前
株式会社コスモス
液状炭化水素の増産方法
2か月前
株式会社コスモス
液状炭化水素の増産方法
2か月前
東ソー株式会社
イソシアネート化合物の製造方法
1か月前
株式会社トクヤマ
ホルムアミド化合物の製造方法
1か月前
株式会社トクヤマ
チオラクトン誘導体の製造方法
13日前
artience株式会社
四塩基酸無水物の製造方法
3か月前
信越化学工業株式会社
新規化合物
3か月前
日産化学株式会社
ピラゾール化合物及び有害生物防除剤
2か月前
日産化学株式会社
ピラゾール化合物及び有害生物防除剤
3か月前
大阪瓦斯株式会社
メタン製造システム
9日前
三菱ケミカル株式会社
アルコールの製造方法
1か月前
本田技研工業株式会社
CO2変換方法
9日前
株式会社トクヤマ
サフィナミド若しくはその塩の製造方法
3か月前
国立大学法人東京農工大学
深共晶溶媒
1か月前
JNC株式会社
有機ケイ素化合物およびこれを用いた重合体
2か月前
東ソー株式会社
免疫グロブリン結合性タンパク質の保存溶液
3か月前
キヤノン株式会社
有機化合物及び有機発光素子
13日前
株式会社トクヤマ
アシル化ベンゼン誘導体の酸塩の製造方法
1か月前
JNC株式会社
有機ケイ素化合物およびこれを用いた重合体
1か月前
続きを見る
他の特許を見る